Qu’est ce qu’un méningiome ?
Un méningiome est une tumeur qui se développe à partir des méninges. Le cerveau et la moelle épinière sont entourés d’une enveloppe que l’on appelle les méninges. La couche la plus externe, plus épaisse, s’appelle la dure-mère. Une seconde membrane, fine et transparente appelée arachnoïde double la dure-mère. C’est elle qui est à l’origine des méningiomes. Entre l’arachnoïde et le cerveau se trouve le liquide céphalo-rachidien (LCR) ou cérébro-spinal.
Parce que les méningiomes ont tendance à pousser vers l’intérieur du crâne, ils compriment progressivement le cerveau ou la moelle épinière et les nerfs et peuvent provoquer des troubles neurologiques.
La majorité des méningiomes ne sont pas cancéreux mais bénins et à croissance lente. Cependant, certains peuvent être plus agressifs.
Quels sont les symptômes ?
Certaines personnes atteintes de méningiomes ne présentent aucun symptôme. La tumeur peut être découverte lors d’un examen radiologique (Scanner ou IRM) réalisé pour une autre raison. On parle de découverte fortuite. C’est un mode de découverte de plus en plus fréquent.
Les symptômes apparaissent le plus souvent progressivement et varient en fonction de l’endroit où se situe le méningiome et en fonction des structures nerveuses qu’ils compriment.
Les méningiomes peuvent entrainer des maux de tête, des convulsions ou crises d’épilepsie, une faiblesse dans le bras ou la jambe, des troubles de la parole, de la vue, des sensations anormales, un changement de personnalité, des problèmes d’équilibre, des vertiges, une baisse de l’audition, une perte de l’odorat….
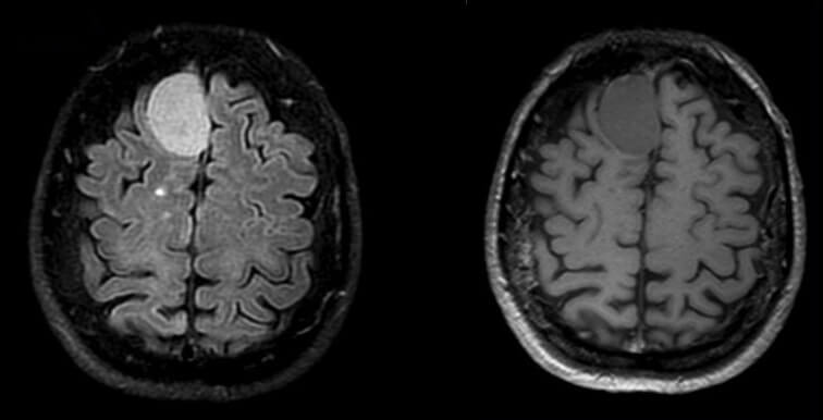
IRM cérébrale (coupes axiales FLAIR et T1) : méningiome frontal para-sagittal droit homogène
Classification
Les méningiomes sont classés en plusieurs grades. Le traitement varie en fonction de ce grade défini par l’analyse d’un prélèvement obtenu au moment de l’intervention chirurgicale.
- Grade I: Méningiomes bénins. Ils ont une croissance lente. Si le méningiome ne provoque pas de symptômes, il est souvent plus raisonnable de le surveiller par une IRM ou un scanner régulier avant de le traiter. Certains méningiomes ne grossissent pas. Ils peuvent également parfois régresser spontanément lorsqu’un traitement hormonal (traitements progestatifs) qui favorisait leur croissance est arrêté.
- Grade II: Méningiomes atypiques. Ils sont plus agressifs avec un risque plus élevé de récidive une fois le méningiome enlevé. Certains méningiomes de grade II nécessitent une radiothérapie après la chirurgie.
- Grade III: Méningiomes malins. Ils sont les plus agressifs mais ils représentent moins de 1% des méningiomes. C’est une pathologie rare, grave et la chirurgie est quasiment toujours suivie d’une radiothérapie. Le risque de récidive est élevé.
Localisation
Les méningiomes sont nommés en fonction de leur emplacement (Méningiome frontal, méningiome temporal, méningiome du sinus caverneux ….) et peuvent entrainer des symptômes très divers en fonction de l’endroit exacte ou ils se trouvent.
Les méningiomes de la base du crâne, situés sous le cerveau sont parmi les plus compliqués à traiter en raison de leur localisation profonde et de la difficulté d’y accéder. Ces méningiomes nécessitent de recourir à des techniques chirurgicales spécifiques de pointes qui permettent d’y accéder et qui sont une des spécialités de notre service.
Quelles sont les causes ?
Les méningiomes sont plus fréquents chez la femme que chez l’homme et des facteurs hormonaux peuvent favoriser la survenue et la croissance des méningiomes. Certains traitements hormonaux peuvent favoriser la croissance des méningiomes.
La grossesse peut également favoriser la croissance de certains méningiomes.
Certaines personnes ont également une prédisposition génétique à développer des méningiomes et certaines maladies comme la neurofibromatose sont susceptibles de donner des méningiomes. Ils sont parfois multiples.
L’exposition à des radiations ionisantes est un facteur de risque aujourd’hui clairement établi. Les patients qui ont eu une radiothérapie crânienne pour d’autres raisons, dans l’enfance par exemple, sont plus à risque de développer un ou des méningiomes.
Qui est concerné?
Les méningiomes représentent environ 36% de toutes les tumeurs cérébrales primitives. Ils surviennent le plus souvent entre 40 et 70 ans. Ils sont rares chez l’enfant.
Chirurgie
L’ablation chirurgicale est le traitement le plus courant pour les méningiomes qui entrainent des symptômes.
Les risques de la chirurgie sont variables en fonction de la localisation de la tumeur. Pour prendre la décision d’opérer, les risques de la chirurgie doivent être considérés comme plus faible que ceux liés à l’évolution naturelle du méningiome; il est donc parfois préférable de se contenter d’une simple surveillance et de laisser évoluer le méningiome. Certaines interventions sont très complexes, lorsque le méningiome est situé dans des zones plus menaçantes, profondes comme la base du crâne.
Les progrès technologiques ont amélioré la capacité du chirurgien à localiser précisément la tumeur, à définir ses limites et à éviter de toucher aux zones fonctionnelles et vitales du cerveau. Ils permettent des interventions plus sures et moins invasives.
Parmi ces progrès technologiques, on dispose de la neuronavigation, du neuro-monitoring, de l’endoscopie, des bistouris ultrasoniques, du micro-doppler…

